FAQ's
Root Canal Treatment (RCT) A tooth has three layers enamel, dentin and pulp. When the cavity is so deep that it reached the pulp, RCT has to be done.
In this all the infection from within the tooth is removed, all the canals in the root are cleaned and medicament is placed. The tooth is sealed so that no infection seeps in after RCT.
After performing RCT, the tooth becomes weak and brittle. That’s why post RCT crown is very important to protect the tooth.
Placing a crown helps the tooth to be strong and capable of withstanding the forces as in the normal tooth.
Root Canal inclusive of crown can be completed within 2 to 3 sittings.
Cost The cost of RCT is 4000 per tooth.
The cost of the crowns varies from 4000-14000 depending upon the quality of the crown you choose.
Please note: Most of the treatment procedures and charges are mentioned on our website. www.chiseldental.co.in
If you have any other queries please feel free to contact us on this number: 9986560009
Is root canal painfull? As, root canals are done under local anesthesia, it is a painless procedure. Moreover; with the rotary machines available today;the procedure is so much more faster than doing the same thing with hand filing.
How many sittings are required for a root canal? That depends on the degree of infection. However; now a days root-canal along with the crown can be completed in 2/3sitings maximum in more than 90% of the cases and often within a week’s time. Only in cases of swelling or severe pain /infection;the number of sittings may increase.
Why is a crown required after Root canal treatment? After RCT the tooth tends to become weak and brittle and prone to fracture. That’s why after RCT a crown is very important to protect the tooth and hold it together. Placing a crown helps the tooth to be able to withstand chewing forces and function like a normal tooth.Moreover, it completes the sealing of the tooth, preventing breakage of root canal filling and reinfection.
Can a badly broken tooth also be treated with root canal treatment? Unless the tooth is split in two or as long as atleast one mm of tooth is visible all around, the tooth can be treated by RCT. In such cases the tooth is reinforced with additional structure called Post and core,that acts as foundation of the tooth to withstand chewing forces. The post and core may be of metal or white colored fiber posts with composite core build up .
When is root canal treatment suggested instead of a simple filling? When any decay/trauma/wear of the tooth invades the innermost section consisting of nerves and blood vessels (liquid media), nothing solid (filling) can be placed over it and as the infection spreads into the roots; the blood and nerve tissues need to be taken out along with the infection. This process is termed as Root canal. What is the significance of saving the tooth by Root canal and capping? Saving the tooth helps keep the surrounding bone intact and opposing teeth in ideal position thus preserving the adjacent teeth from collateral damage.
What is the success rate of Rct? Root canal has a success rate of more than 95% thanks to the advanced materials available to perform the procedures today such as Apex locators and digital xrays to ensure accuracy; rotary instruments and fiber posts with core build up materials to improve the strength of tooth and CAD-CAM precision crowns bonded chemically to the tooth.
In this all the infection from within the tooth is removed, all the canals in the root are cleaned and medicament is placed. The tooth is sealed so that no infection seeps in after RCT.
After performing RCT, the tooth becomes weak and brittle. That’s why post RCT crown is very important to protect the tooth.
Placing a crown helps the tooth to be strong and capable of withstanding the forces as in the normal tooth.
Root Canal inclusive of crown can be completed within 2 to 3 sittings.


Please note: Most of the treatment procedures and charges are mentioned on our website. www.chiseldental.co.in
If you have any other queries please feel free to contact us on this number: 9986560009
Is root canal painfull? As, root canals are done under local anesthesia, it is a painless procedure. Moreover; with the rotary machines available today;the procedure is so much more faster than doing the same thing with hand filing.
How many sittings are required for a root canal? That depends on the degree of infection. However; now a days root-canal along with the crown can be completed in 2/3sitings maximum in more than 90% of the cases and often within a week’s time. Only in cases of swelling or severe pain /infection;the number of sittings may increase.
Why is a crown required after Root canal treatment? After RCT the tooth tends to become weak and brittle and prone to fracture. That’s why after RCT a crown is very important to protect the tooth and hold it together. Placing a crown helps the tooth to be able to withstand chewing forces and function like a normal tooth.Moreover, it completes the sealing of the tooth, preventing breakage of root canal filling and reinfection.
Can a badly broken tooth also be treated with root canal treatment? Unless the tooth is split in two or as long as atleast one mm of tooth is visible all around, the tooth can be treated by RCT. In such cases the tooth is reinforced with additional structure called Post and core,that acts as foundation of the tooth to withstand chewing forces. The post and core may be of metal or white colored fiber posts with composite core build up .
When is root canal treatment suggested instead of a simple filling? When any decay/trauma/wear of the tooth invades the innermost section consisting of nerves and blood vessels (liquid media), nothing solid (filling) can be placed over it and as the infection spreads into the roots; the blood and nerve tissues need to be taken out along with the infection. This process is termed as Root canal. What is the significance of saving the tooth by Root canal and capping? Saving the tooth helps keep the surrounding bone intact and opposing teeth in ideal position thus preserving the adjacent teeth from collateral damage.
What is the success rate of Rct? Root canal has a success rate of more than 95% thanks to the advanced materials available to perform the procedures today such as Apex locators and digital xrays to ensure accuracy; rotary instruments and fiber posts with core build up materials to improve the strength of tooth and CAD-CAM precision crowns bonded chemically to the tooth.
Orthodontic Treatment
Please note: Most of the treatment procedures and charges are mentioned on our website.
www.dentalclinicbangalore.com
If you have any other queries please feel free to contact us on this number: 9986560009
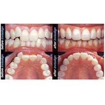
This is one of the picture where gaps has been closed by laminates.. This can be done in a weeks time ..If your concern is somewhat related to this condition , you can come to our clinic for free consultation, and we can discuss about different treatment options.
Am I a candidate for braces treatment or is cosmetic dentistry an option?
If you are young and your teeth are misaligned but in the perfect shape and colour, then braces or orthodontic treatment is the right path for you. However, if you are unhappy with the shape or colour or texture of your teeth then looking at cosmetic dentistry is a sensible option. Even in such cases, braces can be used for pre-aligning the teeth where required. Here; pre aligning with use of recent advances like Inman aligners can considerably shorten treatment time.The basic principle to follow here would be – ‘Treat young patients Idealistically and treat adult patients Realistically’.
How much time does it take for braces treatment to align the teeth? Orthodontic treatment requires minimum of 8-10 months to align the teeth. In adult patients , where minor corrections for only front teeth are targeted, 6- 7 months should be adequate. With use of Inman Aligners the treatment span can be shortened to around 12-16 weeks.In the first visit the braces will be placed ,followed by monthly recalls to monitor and guide the progress.
What would be the Cost of orthodontic treatment? You have many varieties of brackets. The cost ranges from 25000 to 200000 INR. Metal – Rs. 21000-25,000 Ceramic – Rs. 29000-35,000 High-end ceramic(Clear) – Rs. 37000- 45,000 Lingual – Rs. 60,000-99,000 Invisalign – Rs. 1,50,000-2,00,000 Inman Aligners – 70000-90000 INR
Do I have to remove teeth for braces treatment? Not necessarily… It depends on the position of your jaws and your expectation from the treatment. Your dentist will take a series of x rays to determine whether removal of teeth are a must. Is the treatment very painfull? Slight discomfort may be experienced for the first week with the brackets if present till the lips and teeth adjust around it.
Will my mouth be full of metal during orthodontic treatment? Well, with the advancements in dentistry; that is a non-entity. One can opt for ceramic /clear brackets or even bracketless systems (consisting of only series of trays) such as Clearpath or Invisalign.
- Mal alignment of the teeth are the primary concern of people these days primarily because of the esthetic look.
- This treatment helps to align all the teeth in a proper position.
- This takes care of your functional as well as your esthetic concerns.
- It is performed using brackets and braces.
- Metal -25,000
- Ceramic -35,000
- High end ceramic-45,000
- Lingual -99,000
- Invisible bracketless system -1,50,000-2,00,000



www.dentalclinicbangalore.com
If you have any other queries please feel free to contact us on this number: 9986560009
This is one of the picture where gaps has been closed by laminates.. This can be done in a weeks time ..If your concern is somewhat related to this condition , you can come to our clinic for free consultation, and we can discuss about different treatment options.

How much time does it take for braces treatment to align the teeth? Orthodontic treatment requires minimum of 8-10 months to align the teeth. In adult patients , where minor corrections for only front teeth are targeted, 6- 7 months should be adequate. With use of Inman Aligners the treatment span can be shortened to around 12-16 weeks.In the first visit the braces will be placed ,followed by monthly recalls to monitor and guide the progress.
What would be the Cost of orthodontic treatment? You have many varieties of brackets. The cost ranges from 25000 to 200000 INR. Metal – Rs. 21000-25,000 Ceramic – Rs. 29000-35,000 High-end ceramic(Clear) – Rs. 37000- 45,000 Lingual – Rs. 60,000-99,000 Invisalign – Rs. 1,50,000-2,00,000 Inman Aligners – 70000-90000 INR
Do I have to remove teeth for braces treatment? Not necessarily… It depends on the position of your jaws and your expectation from the treatment. Your dentist will take a series of x rays to determine whether removal of teeth are a must. Is the treatment very painfull? Slight discomfort may be experienced for the first week with the brackets if present till the lips and teeth adjust around it.
Will my mouth be full of metal during orthodontic treatment? Well, with the advancements in dentistry; that is a non-entity. One can opt for ceramic /clear brackets or even bracketless systems (consisting of only series of trays) such as Clearpath or Invisalign.
IMPLANTS FOR COMPLETE DENTURES Replacing all teeth in the mouth can be achieved by either placing the conventional removable complete dentures that get support from the gums or preferably by a fixed option as either Fixed complete dentures or fixed bridges.
Advantages of fixed replacements: 1. No movement/dislodgement of denture while speaking and eating
2. Looks natural and maintains the bone height and thus reduces or avoids the aged appearance
3. Easy to chew food
4. Maintainence is easy as it’s almost similar to maintaining your natural teeth.
When all teeth are lost, fixed replacement is achieved by placement of Implants. Implant treatment involves placing (implanting) artificial dental roots made of a special biocompatible material namely titanium in the jaw bone for a natural feel as well as esthetic satisfaction.
The material is similar to the screws and plates placed in knee operations as is completely safe and can absorb heavy loading.
The number of implants required to replace all the teeth in one jaw depends mainly on the following factors;
(a) The amount of bone(height and width) present in the jaw
(b) Age of the patient and
(c) The type of replacement i.e.; whether the patient is satisfied with fixed complete denture made of acrylic teeth or wishes to have replacement by fixed bridge made of Ceramic/zirconia material crowns.
For fixed complete denture in one jaw; depending on the above factors a min. of 2 implants to a max. Of 4 implants would be required per jaw for optimum results and longevity.
In case of fixed ceramic bridge/Hybrid denture, a min. of 6 to a maximum of 8-10 implants would be required per jaw to bear the load and provide stability for long term use.
In both cases a minimum healing period of 4-6 months would be required before placing the fixed prosthesis (replacement). In the interim period, a temporary denture would have to be used.
Cost of the treatment: Cost of the treatment would be around Rs. 30000-35000 per implant. [e.g; Rs 60000 for 2 implants and so on].
The cost of prosthesis depends on the quality of dentures or the type of bridge one opts for.
Price for Denture whole teeth,upper and lower teeth replacement. A good regular Complete denture set would cost Rs 15000.If you are looking for high end imported dentures they range from 25000-50000 depending on the quality and type.
The whole process of fabricating the denture can be completed within a weeks' time. The prices are inclusive for upper and lower dentures both.
For any further doubts and queries please feel free to contact us on 9986560009/9886644249.
Would implants be right for me? First, you should decide whether implants could be right for you. Contact us to arrange an implant consultation and discussion and we will let you know the treatment options.
re implants safe? How long will they last? Implants are a well-established, tried-and-tested treatment. Generally we say implant would last for the lifetime.. But it also depends on your bone changes.
I have some of my own teeth. Can I still have implants? Yes. You can have any number of teeth replaced with implants – from one single tooth to a complete set.
Can implants always be used to replace missing teeth? It depends on the state of the bone in your jaw. Your dentist will arrange for a special radiograph to assess the amount of bone still there. If there is not enough, or if it isn’t healthy enough, grafting or placing of bone may be required prior to placing implants in that area first.
Do implants hurt? Placing the implants requires a small operation. This will be carried out under local anesthesia itself- the same that is given for removal of teeth. You will not feel any pain at the time, but you may feel some discomfort during the week following the surgery. This is usually due to having stitches in place, and the normal healing process which is relived by the medication prescribed.
Can I have the new teeth straight away? No. The implants need to bond (integrate) with the bone after they have been placed. This takes at least 3 months in the lower jaw and 6 months in the upper jaw. If you are having one, two or three teeth replaced, you will have a temporary restoration in the meantime. If you have complete dentures, then you can wear them throughout the healing period once they have been adjusted after the surgery.
How long does treatment take? It takes up to 6 months from the initial assessment to the time when the artificial teeth or dentures are finally attached to the implants. However, if only the lower jaw is involved then it may only take around 5 months.
A lot depends on how complicated your treatment is. Your dentist will be able to give you a timetable once the surgery has been done. In the meantime however, immediate loading teeth or temporary crowns are placed.
Are the teeth difficult to clean? Cleaning around the teeth attached to the implants is no more difficult than cleaning natural teeth. However, you’ll be shown methods to help keep your implant area clean and healthy.
If I had gum disease when I had my own teeth, will I get it with the teeth attached to the implants? Only if you don’t care for them well enough. If you keep them clean, then you should not have any problems.
Can I take the teeth out if they are fixed to implants? Most artificial teeth attached to implants can only be placed and removed by the dentist. However, if you have complete dentures fixed to the implants by bars, then you’ll be able to take them out for cleaning.
Do I have an implant for each missing tooth? No, unless you’re only having a single tooth replaced. Normally, four to six implants are used to replace all the teeth in one jaw, as each implant can usually support two teeth. For a few missing teeth, two or three implants may be sufficient.
What happens if the implant does not bond (integrate) with the bone? This happens very rarely. If the implant becomes loose during the healing period or just after, then it is easily removed and healing takes place in the normal way. Once the jaw has healed, another implant can be placed there. Or, the dentist can make a bridge, using the implanted false teeth that have ‘taken’.
Is the treatment expensive? Unfortunately, yes. However, in many situations, the cost of the treatment is only a little more than the cost of more conventional treatment with crowns and bridges.
There are advantages to it, too. An implant to replace a single tooth avoids the need to cut down the teeth either side for crowns to support a bridge. Also the implants serve a lifetime and not only till your adjacent teeth remain healthy like in bridges. Moreover, with age as all other teeth are lost, the implants already present can be used to provide fixed complete dentures. Normal dentures often mean you can’t eat or speak well, due to the dentures moving about. But teeth attached to an implant don’t cause this problem. Also, the implants integrate into bone preventing bone loss unlike crowns and bridges, thus delaying the signs of aging.
Advantages of fixed replacements: 1. No movement/dislodgement of denture while speaking and eating
2. Looks natural and maintains the bone height and thus reduces or avoids the aged appearance
3. Easy to chew food
4. Maintainence is easy as it’s almost similar to maintaining your natural teeth.
When all teeth are lost, fixed replacement is achieved by placement of Implants. Implant treatment involves placing (implanting) artificial dental roots made of a special biocompatible material namely titanium in the jaw bone for a natural feel as well as esthetic satisfaction.
The material is similar to the screws and plates placed in knee operations as is completely safe and can absorb heavy loading.
The number of implants required to replace all the teeth in one jaw depends mainly on the following factors;
(a) The amount of bone(height and width) present in the jaw
(b) Age of the patient and
(c) The type of replacement i.e.; whether the patient is satisfied with fixed complete denture made of acrylic teeth or wishes to have replacement by fixed bridge made of Ceramic/zirconia material crowns.
For fixed complete denture in one jaw; depending on the above factors a min. of 2 implants to a max. Of 4 implants would be required per jaw for optimum results and longevity.


Cost of the treatment: Cost of the treatment would be around Rs. 30000-35000 per implant. [e.g; Rs 60000 for 2 implants and so on].
The cost of prosthesis depends on the quality of dentures or the type of bridge one opts for.
Price for Denture whole teeth,upper and lower teeth replacement. A good regular Complete denture set would cost Rs 15000.If you are looking for high end imported dentures they range from 25000-50000 depending on the quality and type.
The whole process of fabricating the denture can be completed within a weeks' time. The prices are inclusive for upper and lower dentures both.
For any further doubts and queries please feel free to contact us on 9986560009/9886644249.
Would implants be right for me? First, you should decide whether implants could be right for you. Contact us to arrange an implant consultation and discussion and we will let you know the treatment options.
re implants safe? How long will they last? Implants are a well-established, tried-and-tested treatment. Generally we say implant would last for the lifetime.. But it also depends on your bone changes.
I have some of my own teeth. Can I still have implants? Yes. You can have any number of teeth replaced with implants – from one single tooth to a complete set.
Can implants always be used to replace missing teeth? It depends on the state of the bone in your jaw. Your dentist will arrange for a special radiograph to assess the amount of bone still there. If there is not enough, or if it isn’t healthy enough, grafting or placing of bone may be required prior to placing implants in that area first.
Do implants hurt? Placing the implants requires a small operation. This will be carried out under local anesthesia itself- the same that is given for removal of teeth. You will not feel any pain at the time, but you may feel some discomfort during the week following the surgery. This is usually due to having stitches in place, and the normal healing process which is relived by the medication prescribed.
Can I have the new teeth straight away? No. The implants need to bond (integrate) with the bone after they have been placed. This takes at least 3 months in the lower jaw and 6 months in the upper jaw. If you are having one, two or three teeth replaced, you will have a temporary restoration in the meantime. If you have complete dentures, then you can wear them throughout the healing period once they have been adjusted after the surgery.
How long does treatment take? It takes up to 6 months from the initial assessment to the time when the artificial teeth or dentures are finally attached to the implants. However, if only the lower jaw is involved then it may only take around 5 months.
A lot depends on how complicated your treatment is. Your dentist will be able to give you a timetable once the surgery has been done. In the meantime however, immediate loading teeth or temporary crowns are placed.
Are the teeth difficult to clean? Cleaning around the teeth attached to the implants is no more difficult than cleaning natural teeth. However, you’ll be shown methods to help keep your implant area clean and healthy.
If I had gum disease when I had my own teeth, will I get it with the teeth attached to the implants? Only if you don’t care for them well enough. If you keep them clean, then you should not have any problems.
Can I take the teeth out if they are fixed to implants? Most artificial teeth attached to implants can only be placed and removed by the dentist. However, if you have complete dentures fixed to the implants by bars, then you’ll be able to take them out for cleaning.
Do I have an implant for each missing tooth? No, unless you’re only having a single tooth replaced. Normally, four to six implants are used to replace all the teeth in one jaw, as each implant can usually support two teeth. For a few missing teeth, two or three implants may be sufficient.
What happens if the implant does not bond (integrate) with the bone? This happens very rarely. If the implant becomes loose during the healing period or just after, then it is easily removed and healing takes place in the normal way. Once the jaw has healed, another implant can be placed there. Or, the dentist can make a bridge, using the implanted false teeth that have ‘taken’.
Is the treatment expensive? Unfortunately, yes. However, in many situations, the cost of the treatment is only a little more than the cost of more conventional treatment with crowns and bridges.
There are advantages to it, too. An implant to replace a single tooth avoids the need to cut down the teeth either side for crowns to support a bridge. Also the implants serve a lifetime and not only till your adjacent teeth remain healthy like in bridges. Moreover, with age as all other teeth are lost, the implants already present can be used to provide fixed complete dentures. Normal dentures often mean you can’t eat or speak well, due to the dentures moving about. But teeth attached to an implant don’t cause this problem. Also, the implants integrate into bone preventing bone loss unlike crowns and bridges, thus delaying the signs of aging.
How to close gaps between the teeth?
Gaps between the teeth can be closed by either pulling the teeth together with braces orthodontically or cosmetically by placing porcelain laminates, lumineers or metal free crowns. If only spacing is a problem then either of it is a good option; however if teeth are malformed or missing resulting in the presence of gaps then directly going in for cosmetic correction is a more viable option.
What is cosmetic treatment or Smile designing? It is an artistic method to align your teeth and beautify your smile. In this we design the crowns so as to close the gaps between the teeth. Laminates and Lumineers are relatively non invasive methods of achieving gap closure along with change in colour and shape of the teeth when the teeth are perfectly aligned.
What is the investment required in terms of time? Orthodontically correcting the teeth requires 7-8 months while cosmetic correction is achieved within 7-10 days.
What are the costs involved? The cost depends on the type and quality of materials involved. You can visit the treatment charges section and crowns/dental laminates sections for further information.
Is the procedure painful? As we numb the tissues and then the teeth during the procedure and you will be leaving the dental clinic with temporaries there is no fear of pain either during or after the procedure.
Will the new teeth look Natural? All cosmetic treatments involve CAD CAM technology and metal free materials (porcelain/zirconia) that ensure precise fit and translucency (naturality).
Can any nearest dentist do the procedure? Cosmetic dentistry requires thorough knowledge of the aesthetic principles, a keen eye for aesthetics and knowledge of handling superior materials such as rubber base, light body, bonding cements etc that play a key role in the outcome. Also, the art involves expertise in methodical sequencing of treatment to reduce the no. of visits and providing aesthetics without compromising the integrity of the tooth. Hence, a Master’s degree and high experience of the concerned dentist are always recommended.
Is it a permanent treatment? YES. The crowns/ laminates are permanently bonded onto the teeth.
What is cosmetic treatment or Smile designing? It is an artistic method to align your teeth and beautify your smile. In this we design the crowns so as to close the gaps between the teeth. Laminates and Lumineers are relatively non invasive methods of achieving gap closure along with change in colour and shape of the teeth when the teeth are perfectly aligned.
What is the investment required in terms of time? Orthodontically correcting the teeth requires 7-8 months while cosmetic correction is achieved within 7-10 days.
What are the costs involved? The cost depends on the type and quality of materials involved. You can visit the treatment charges section and crowns/dental laminates sections for further information.
Is the procedure painful? As we numb the tissues and then the teeth during the procedure and you will be leaving the dental clinic with temporaries there is no fear of pain either during or after the procedure.
Will the new teeth look Natural? All cosmetic treatments involve CAD CAM technology and metal free materials (porcelain/zirconia) that ensure precise fit and translucency (naturality).
Can any nearest dentist do the procedure? Cosmetic dentistry requires thorough knowledge of the aesthetic principles, a keen eye for aesthetics and knowledge of handling superior materials such as rubber base, light body, bonding cements etc that play a key role in the outcome. Also, the art involves expertise in methodical sequencing of treatment to reduce the no. of visits and providing aesthetics without compromising the integrity of the tooth. Hence, a Master’s degree and high experience of the concerned dentist are always recommended.
Is it a permanent treatment? YES. The crowns/ laminates are permanently bonded onto the teeth.

Practo Reviews

Lybrate Reviews

Google Reviews


080-25524249, 9986560009, 9900370009
chiseldentalclinics@gmail.com
Timing : 9 AM to 6:30 PM (Tuesday Off)
Main Branch
