Deep Bite
Traumatic occlusion (or a bad bite) is the result of misalignment of the teeth and jaws, often caused by genetics, but can also be due to teeth crowding, bad, worn or decayed teeth, and poor or failing dental work and missing teeth, particularly missing back teeth. Habits such as thumb sucking, clenching or grinding teeth (bruxism) can also contribute to causing such problems.
Missing back teeth in an adult can create or exacerbate a ‘deep bite’ leading to collapse of the bite and lower face, giving a more aged appearance.
Out of all the bite disorders, a deep bite is the most detrimental to the teeth and health of the jaw joints. It also has an impact on facial aesthetics with wearing of the behind teeth reducing the facial height and increasing wrinkle lines and aged appearance.
Although it may appear as merely an aesthetic issue, a bad bite is in fact far more serious; it can lead to significant damage to the teeth and gums as well as headaches and temporomandibular joint (TMJ) disorders.
A deep bite is a condition where your upper front teeth bite too deeply over the lower front teeth.
Missing back teeth in an adult can create or exacerbate a ‘deep bite’ leading to collapse of the bite and lower face, giving a more aged appearance.
Out of all the bite disorders, a deep bite is the most detrimental to the teeth and health of the jaw joints. It also has an impact on facial aesthetics with wearing of the behind teeth reducing the facial height and increasing wrinkle lines and aged appearance.
Although it may appear as merely an aesthetic issue, a bad bite is in fact far more serious; it can lead to significant damage to the teeth and gums as well as headaches and temporomandibular joint (TMJ) disorders.
A deep bite is a condition where your upper front teeth bite too deeply over the lower front teeth.

Why Treat Deep Bite?
Unlike other diseases/dental conditions, which have an immediate symptom of pain, Traumatic occlusion and/or Deep bite is more of a silent disease like cancer in that it results in a series of small seemingly insignificant changes which occur slowly over a period of time resulting in irreversible changes recognized first as an all of a sudden generalized sensitivity when most of the damage has already occurred.
Features of Deep Bite
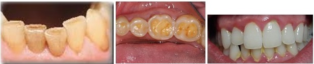
Initial stages : one can notice wear of the lower front teeth seen as a flattening of the surface, craze lines/thin fracture lines in the front teeth along with accumulation of deposits and bleeding of gums mainly in the lower front teeth. As the upper teeth bite totally over the lower teeth, the function of your teeth will be poor especially when chewing food.

If left to progress, the top edge of the lower teeth will often wear very early and extensively and sometimes even upper teeth wear, resulting in generalized sensitivity. Sudden Chipping off of teeth, regular bleeding of gums noticed esp. while brushing are seen. Also with time, the gum behind the upper teeth and in front of the lower teeth can get damaged due to the top edges of teeth biting into the gums called gingival recession. Your smile can also be affected by this condition, as the upper teeth can wear on their chewing surfaces overtime, gums look unaesthetic. This can be a very serious issue and often leads to loss of the front teeth. Bad breath may be noticed as a side effect of the gum disease and deposits in the teeth.

Advanced stage : causes excessive wear to your teeth presenting as generalized sensitivity in all teeth and pain in severely affected teeth, gingival recession and TMJ pain (pain in jaw joints and muscles).
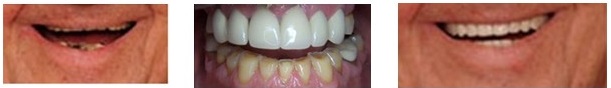
Treatment of Deep Bite by Cosmetic Crown
A deep bite, even in adults, can be corrected these days with one of the many effective restorative treatment options.
Treatment involves raising the bite to establish a correct bite by placing crowns on the behind teeth and replacing any missing teeth so that the chewing forces are distributed equally.
If front teeth are already damaged [worn /chipped], metal free crowns or laminates may be placed for esthetics. Simple gum cleaning (scaling) may be required.
Treatment involves raising the bite to establish a correct bite by placing crowns on the behind teeth and replacing any missing teeth so that the chewing forces are distributed equally.
If front teeth are already damaged [worn /chipped], metal free crowns or laminates may be placed for esthetics. Simple gum cleaning (scaling) may be required.

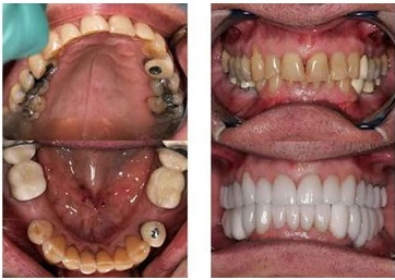
In advanced stages; where patients come with pain, generalized sensitivity and gum recession (chewing away of gums); along with crowns on the back teeth, those teeth with pain may require root canal therapy and the front teeth will also require crowns. Additionally, gum surgery would be required where indicated.

Cost of Treatment
The cost of the treatment depends on the quality of crowns we choose to increase the bite and number of teeth involved in raising the bite.
Night guard (a protective template) is given more as a preventive therapy for monitoring in the earlier stages, when no damage has occurred as yet. Though it does not treat, it significantly delays the progress of the disease and prevents jaw joint (TMJ) and muscle pain from occurring. When detected at a younger age, before attrition of the teeth has occurred, it can be corrected by moving the teeth to a stable correct position using braces and/or anterior bite plane also called Orthodontic treatment.
Night guard (a protective template) is given more as a preventive therapy for monitoring in the earlier stages, when no damage has occurred as yet. Though it does not treat, it significantly delays the progress of the disease and prevents jaw joint (TMJ) and muscle pain from occurring. When detected at a younger age, before attrition of the teeth has occurred, it can be corrected by moving the teeth to a stable correct position using braces and/or anterior bite plane also called Orthodontic treatment.

FAQs
But my lower teeth do not touch upper teeth do I still have deep Bite?
When you have a deep bite condition, your teeth may not touch in resting position but when you are eating the lower teeth hits the upper teeth constantly transferring all the pressure from your lower teeth to the upper teeth and vice- versa then to the gums and later to the TMJ.
Solution to this is bite rise using orthodontic treatment or cosmetic crown, where the crowns are designed in such a way that the bite is re-organised so that stress on the front teeth is averted.
How does deep bite causes TMJ Pain?
Deep bite puts unnatural stress on the muscle and joint over a period of time causing soreness and pain while performing normal function. This happens because of the constant stress which damages the bones and cartilage over a period of time.
Am I supposed to be worried if I have Deep Bite?
Deep Bite is a common health condition. You may want to correct it after noticing the symptoms. Getting your treatment done early for deep bite can avoid more serious oral health complications caused because of it. Thus, it’s best to let your dentist plan a treatment for correcting your deep bite!
Can Invisalign treat Deep Bite?
Yes, clear invisible aligners can be used to treat Deep Bite.
How long does it take to treat Deep Bite?
For a successful deep bite correction by a restorative method will take about a week’s time and through orthodontic treatment, it will take about 10 to 14 months.
What is a Night guard?
Night guard (a protective template) is given more as a preventive therapy for monitoring in the earlier stages, when no damage has occurred as yet. Though it does not treat, it significantly delays the progress of the disease and prevents jaw joint (TMJ) and muscle pain from occurring.
When you have a deep bite condition, your teeth may not touch in resting position but when you are eating the lower teeth hits the upper teeth constantly transferring all the pressure from your lower teeth to the upper teeth and vice- versa then to the gums and later to the TMJ.
Solution to this is bite rise using orthodontic treatment or cosmetic crown, where the crowns are designed in such a way that the bite is re-organised so that stress on the front teeth is averted.
How does deep bite causes TMJ Pain?
Deep bite puts unnatural stress on the muscle and joint over a period of time causing soreness and pain while performing normal function. This happens because of the constant stress which damages the bones and cartilage over a period of time.
Am I supposed to be worried if I have Deep Bite?
Deep Bite is a common health condition. You may want to correct it after noticing the symptoms. Getting your treatment done early for deep bite can avoid more serious oral health complications caused because of it. Thus, it’s best to let your dentist plan a treatment for correcting your deep bite!
Can Invisalign treat Deep Bite?
Yes, clear invisible aligners can be used to treat Deep Bite.
How long does it take to treat Deep Bite?
For a successful deep bite correction by a restorative method will take about a week’s time and through orthodontic treatment, it will take about 10 to 14 months.
What is a Night guard?
Night guard (a protective template) is given more as a preventive therapy for monitoring in the earlier stages, when no damage has occurred as yet. Though it does not treat, it significantly delays the progress of the disease and prevents jaw joint (TMJ) and muscle pain from occurring.

Practo Reviews

Lybrate Reviews

Google Reviews


080-25524249, 9986560009, 9900370009
chiseldentalclinics@gmail.com
Timing : 9 AM to 6:30 PM (Tuesday Off)
Main Branch
