Cosmetic Dentistry
Cosmetic dentistry is generally used to refer to any dental work that improves the appearance (though not necessarily the function) of a person’s teeth, gums and/or bite.
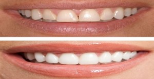
Cosmetic dentistry isn’t just about white teeth, it’s more about the overall appearance and health of your teeth and gums, with the aim being an increased sense of well-being and better self image
Cosmetic dentistry isn’t just about white teeth, it’s more about the overall appearance and health of your teeth and gums, with the aim being an increased sense of well-being and better self image
Types
Cosmetic dentistry may involve:
- The addition of a dental material to teeth or gums – examples: bonding, porcelain veneers (laminates), crowns (caps), gum grafts
- The removal of tooth structure or gums – examples: Enameloplasty, Gingivectomy
- Neither adding nor removing dental materials, tooth structure, or gums – examples: teeth whitening (bleaching), gum depigmentation
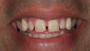
- Straightening of teeth accompanied by improvement in appearance of face - Orthodontics, Inman Aligner


Miracles of Cosmetic Dentistry




Inman Aligners
The Inman Aligner is a simple removable appliance used to align front teeth quickly and safely. It’s ideal as a stand alone treatment or to prealign teeth prior to further cosmetic options such as bonding or minimal veneers.


Patient Sharing His Experience With Dr. Sumanth Shetty



“A Perfect smile is not a fluke, but is based on Reliable , Repeatable, and Reproducible principles of Smile analysis and Facial aesthetics”
Smile Types







Smile Correction




Practo Reviews

Lybrate Reviews

Google Reviews


080-25524249, 9986560009, 9900370009
chiseldentalclinics@gmail.com
Timing : 9 AM to 6:30 PM (Tuesday Off)
Main Branch
